

内視鏡の
検査機器
高性能内視鏡システム

ハイビジョン対応の内視鏡
さたけクリニックでは、オリンパス社製のNBI(狭帯域光観察)機能を搭載したハイビジョン対応の内視鏡を使用しています。
テレビ放送に例えると従来の内視鏡検査がアナログ放送とすれば、この内視鏡はハイビジョンデジタル放送にあたり、さらに精密で微小な早期癌の発見に有用です。
NBIって何?
NBIとはNarrow Band Imaging(狭帯域光観察)の略称をいい、 特殊な光を使って粘膜表 面を観察する、内視鏡の新しい技術です。
がんの早期発見(特に食道がん)につながる技術として、世界中の医療現場での貢献が期待されています。
(左が通常光、右がNBIによる観察)



極細径内視鏡スコープ
胃カメラ検査では、先端部外径5.4mmと高画質を両立した挿入性に優れた経口・経鼻挿入対応極細径スコープと鎮 静剤を使うことによって今まで以上に苦痛の少ない内視鏡検査を実現しました。
(一番左が、極細径内視鏡)
体に優しい二酸化炭素送気装置
さたけクリニックでは、一部の専門病院でしか導入されていない二酸化炭素送気装置を使用しています。
検査で腸内に残された空気は、ほとんどが、「おなら」として肛門から出る以外にありません。しかし、その空気を「二酸化炭素」にすることによって、腸の壁から素早く吸収され、吐いた息によって、外に排出されます。
実に、その排出の早さは、空気の1000倍以上とも言われております。ですから、検査中も常に吸収されていくので、検査中も検査後も空気の場合と比較して、とても楽という結果になります。
もちろん、この装置を使ったからといって、患者さんの負担が増える事はありません。より楽な検査を提供することによって、それにより発生する出費も増えず、検査自体も、検査後も苦痛の少ない安全な検査を提供いたします。

二酸化炭素送気装置の効果
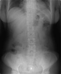
下の2枚のレントゲン写真はどちらも大腸内視鏡検査直後のものです。
通常の空気を入れて検査をした場合

黒く見えるのは大腸と小腸に入った空気です。お腹が空気でふくらんでいることがわかります。
二酸化炭素を入れて検査をした場合

大腸検査直後ですが、すでに大腸内の二酸化炭素はほぼ吸収され黒い部分がほとんどありません。
※国立がんセンター中央病院 内視鏡部『消化器内視鏡検査における炭酸ガスの安全性』からの引用です
内視鏡スコープの洗浄について
さたけクリニックでは、内視鏡の洗浄・消毒に関するガイドラインに沿った強酸性水を使用した自動ブラッシングシステムを搭載した最新式の内視鏡洗浄機にて1例ごとに洗浄しています。
強酸性電解水は、胃粘液に含まれるヘリコバクターピロリ菌、血液に含まれる肝炎ウィルス、大腸 内に存在する嫌気性芽胞菌など多くの細菌・ウィルスに効果を発揮します。

